Vol.118
みなさま、こんばんは。岡山市南区妹尾のさとう歯科クリニック院長、佐藤公麿です。
虫歯や歯周病、歯の破折などにより、やむを得ず抜歯が必要となった場合、歯の欠損部に噛み合わせを回復するための治療法として、主に以下の4つの選択肢があります。
① インプラント治療
② ブリッジ(支えとなる隣接歯が必要です)
③ 入れ歯(義歯)
④ 自家歯牙移植(ご自身のドナー歯が必要となるため、適応条件が限られます)
「外科手術への不安がある」「骨が少ないためインプラントは難しいと言われた」「できるだけ費用を抑えたい」など、様々な理由から入れ歯を選択される方は多くいらっしゃいます。
入れ歯によって「しっかりと噛める」「見た目も自然で美しい」という結果が得られれば、入れ歯は非常に優れた治療の選択肢となります。
しかし一方で、「硬いものが噛めない」「違和感が強くて食事が楽しめない」といった、入れ歯特有の不便さを抱えていらっしゃる患者さまが多いのも事実です。
そのようなお悩みを抱える方に、当院では適応条件を満たせば、インプラント治療をご提案しております。
「噛めない」「見た目が気になる」「違和感がある」といった入れ歯での問題がインプラントによって解消され、多くの患者さまから喜びの声をいただいております。
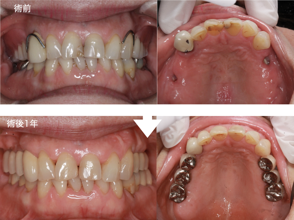
本日は、歯周病により上顎の奥歯を失い、入れ歯でお困りだった60代女性の患者さまにインプラント治療を行った症例をご紹介いたします。
上顎の左右臼歯部(奥歯)に3本ずつ、合計6本のインプラントを埋入し、奥歯の強固な噛み合わせを構築しました。
本症例のように「前歯しか残っていない状態」において、よく噛める入れ歯を作製することは力学的に非常に困難です。さらに、入れ歯のままの状態でいると残存している前歯に過度な負担がかかり、連鎖的に前歯まで悪くなってしまうリスクが高まります。
このようなケースでは、インプラント治療によって奥歯に安定した噛み合わせを確立することで前歯への負担を大幅に軽減し、口腔内全体の健康を長期的に維持することが可能となります。
【担当医】
【治療期間】
約1年間
【治療内容】
歯周病治療を行った後、上顎両側臼歯部に合計6本のインプラント埋入を行いました。 現在は、定期的なメインテナンスに移行しております。
【費用】
インプラント治療 1本約50万円(自由診療)
【リスク・副作用】
・非常に強い力で上部構造が欠けることがあります。
・不良な口腔衛生状態や過度の噛み合わせの力など、種々の要因によりインプラント体周囲に感染が起こる可能性があります。
・将来的に、顎骨の生理的な変化に伴い、インプラントの上部構造と周囲の歯の長さ、または歯と歯の隙間に不調和が生じ、上部構造のやり直しが必要になる可能性があります。
(※臨床写真の掲載については、患者さまより事前の同意を得ております。)




