Vol.116
みなさま、こんばんは。岡山市南区妹尾のさとう歯科クリニック院長の佐藤公麿です。
最近、こんな方が増えてます。
「矯正治療後に歯肉が下がっているのが気になる!」
「前歯の歯茎が下がって、黒いところ(ブラックトライアングル)を治したい!」
「矯正治療が終わって、歯並びは良くなったけど、歯茎が下がって・・・、こんなになるなんて思ってなかった!」
「歯茎が下がって冷たいものがしみる!歳を取ると仕方がないのかしら・・・」
歯茎下がり(歯肉退縮)は、もともと歯肉が薄いタイプの方が硬い歯ブラシで強く磨きすぎたりすると生じます。それ以外にも、矯正治療後に歯茎が下がることがあります。
歯肉退縮は放置すると進行することが多く、見た目の問題以外にも、知覚過敏を招いたり、歯根に虫歯(根面う蝕)を生じやすくなったりと、問題になることがあります。
この歯肉退縮、なかなか自然に治るのは難しい状況です。例えば、誤ったブラッシング習慣が原因であれば、その原因がなくなればいくらかは戻ることもありますが、その戻りは限定的なことが多いです。
そこで、根本的に治すには、CTG(結合組織移植)による根面被覆術が非常に有効な治療選択肢となります。
それでは、当院で歯茎下がり(歯肉退縮)の治療を受けられた方の紹介をさせて頂きます。
今回ご紹介させていただく症例以外にも、当院では多くの歯茎下がり(歯肉退縮)の治療実績がありますので、他の症例もぜひご覧ください。
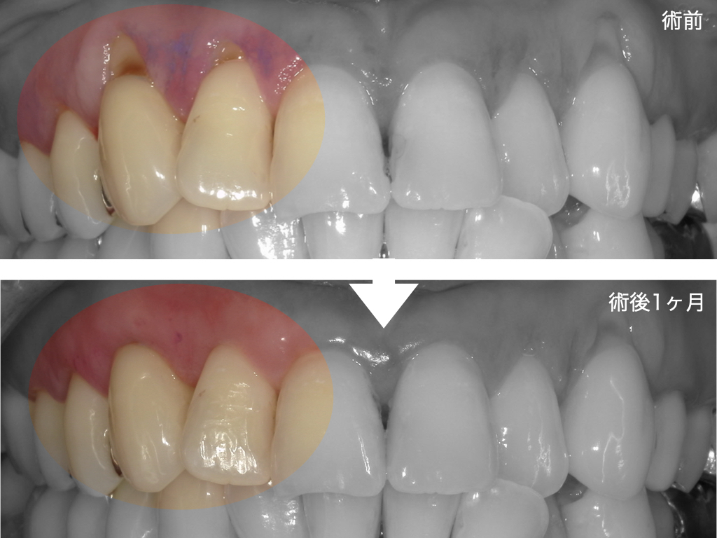
症例概要
・年齢・性別:30代・女性
・主訴:前歯の歯ぐきが下がって見た目が気になる。冷たいものがしみる。
患者様は、「歯茎が下がっているのが気になって、思いっきり笑えない。」という審美的な悩みと、冷水痛(知覚過敏)を訴えて来院されました。
治療内容
今回行ったのは
CTG(結合組織移植術)を併用した根面被覆術です。
治療のポイント
・露出した歯根面を覆うために歯肉を移動
・口蓋から採取した結合組織を移植
・歯肉の厚みを増やし、長期安定を図る
治療結果
・歯肉の位置が回復し、歯の長さのバランスが改善
・知覚過敏の軽減
・歯肉の厚みが増加し、再発リスク低下
見た目だけでなく「機能的にも改善」している点が重要と考えています。
歯肉退縮を放置する問題点
結論▶︎
進行性であり、放置しても自然に回復することはありません。
理由▶︎
歯肉退縮は以下の問題を引き起こします:
・知覚過敏(象牙質露出)
・むし歯リスク増加(根面う蝕)
・審美障害(ブラックトライアングル)
・プラーク停滞による炎症悪化
数字▶︎
・露出した根面はエナメル質の約1/2以下の硬さ → う蝕リスク高い
・歯肉厚みが1mm未満だと退縮リスク増加(複数研究あり)
CTG(結合組織移植)の有用性
結論▶︎
長期安定性と審美性の両立が可能な、最も信頼性の高い術式の一つです。
理由▶︎
・歯肉の「厚み」を増やせる
・血流が豊富で生着率が高い
・再退縮しにくい
数字▶︎
・根面被覆率:70〜95%程度(症例選択による)
・長期安定性:5年以上安定報告多数
矯正治療後の歯肉退縮について
結論▶︎
矯正後の歯肉退縮にもCTGは非常に有効です。
理由▶︎
矯正後は
・歯が唇側に移動する場合があります
・骨・歯肉が薄くなることがあります
→ 歯肉退縮しやすい状態になることがあります
特に、前歯部と犬歯部でよく見られます。
当院での考え方
さとう歯科クリニックでは
単に「歯ぐきを上げる」のではなく
・歯肉の厚み
・骨の状態
・清掃性
・咬合
を総合的に評価し、再発しにくい治療を重視しています。
費用と治療回数
・手術回数:1回
・費用:77,000円〜220,000円(税込)
※状態により適応・結果は異なります
こんな方はご相談ください
・前歯の歯ぐきが下がってきた
・歯が長く見える
・冷たいものがしみる
・矯正後に歯肉が下がった
・見た目を改善したい
まとめ
結論▶︎
歯肉退縮は早期対応が重要であり、CTGによる根面被覆は高い予知性を持つ治療です。
理由▶︎
・放置で進行
・機能・審美ともに悪化
・外科的に改善可能
数字▶︎
-
被覆率:70〜95%
-
手術:1回
-
費用:110,000円
歯肉退縮は「年齢のせい」と諦める必要はありません。
特に矯正治療後に違和感を感じている方は、適切な診断と治療で大きく改善できる可能性があります。
当院では、日本歯周病学会歯周病専門医・指導医の院長が歯肉退縮の治療にあたっています。
気になる方はお気軽にご相談ください。




